3月19日晚,外地返工的陈师傅跟工友们吃完晚饭一起骑电动车回家,半路上不慎摔倒,起身看看发现身上只有一些擦伤,头有点晕,但是陈师傅觉得自己平时身强体健,摔一下没什么大碍,就坚持回家了。
“虽然之前医院说要住院观察,但当时觉得除了皮外伤也没什么,只是有点感觉头晕,觉得是喝酒了的关系,住院又太费钱,就回来了……”陈师傅的家属是这么解释当时情况的。
第二天下午,陈师傅的家人发现陈师傅意识不清,叫了也没有反应,这下慌了神,赶紧打了120,就近送到康华医院急诊科。
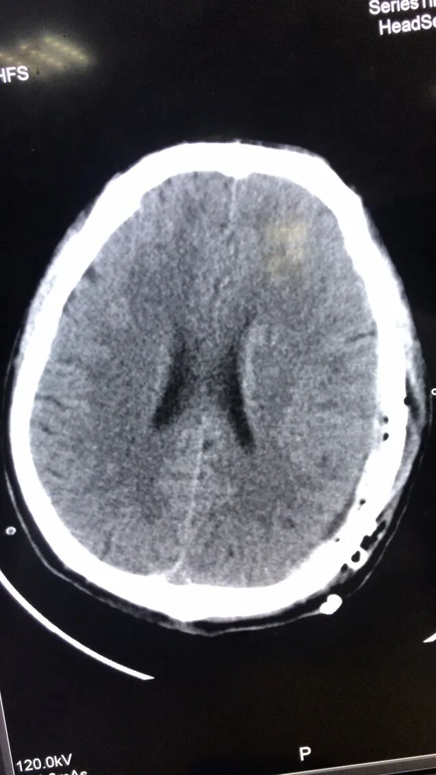
经过CT检查,陈师傅顶部硬膜外血肿,顶骨骨折,同时左侧多处肋骨骨折,情况危急,急症检查完后就立刻转入ICU救治。经过ICU和神经外科联合救治,陈师傅目前已经恢复了意识,是否已经脱离危险,还需要进一步观察。
手术前
1
手术后
2
据急诊科护士长徐晓雯介绍,此前康华医院急诊科就收治过多起因为摔伤未引起重视,而导致严重后果的病例。这些病例或因为家境原因觉得可以忍一忍自行恢复,或者老人摔倒后已经脏器受损或者骨折,但自己并不知情。直到疼痛难忍甚至休克才被送往医院救治,失去了最佳的救治时间。
康华医院ICU主任邱元龙表示,疼痛对人体有保护和警示作用,电动车交通事故死亡人数约80%是颅脑等脏器损伤致死的。这类疾病一旦错过最佳救治时间,救治起来往往非常困难。邱主任提醒,一旦电动车发生摔倒,不可大意,需及时就医,以免延误最佳的抢救时机。

