去年5月初,王大伯因冠心病住进了康华医院,查胸部CT时意外发现右肺上叶有一个肿块,直径约2cm,医生建议他做进一步检查,但大伯和家属都没有重视,“八成没问题的,不用再检查了”。待王大伯冠心病症状得到控制后,他便出院了。
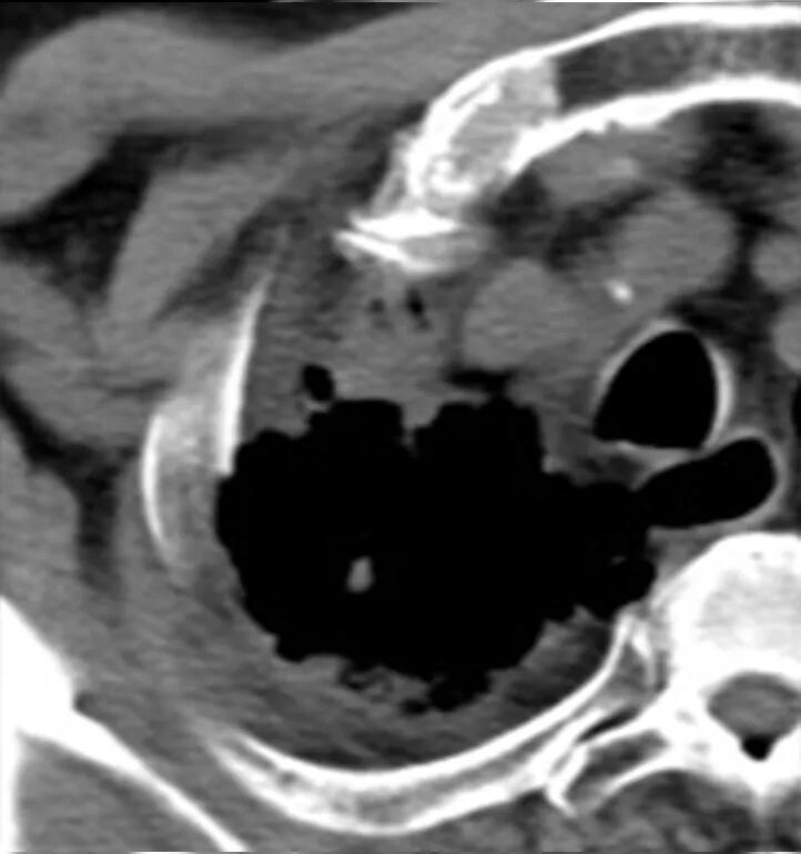
同年11月,王大伯又因为头晕住院了,再次查胸部CT时发现右肺上叶肿块增大到3.5cm了,“考虑右肺上叶肺癌”——报告如此显示。仅半年时间竟长得这么快,大家都慌了,赶紧找到肿瘤科主任王剑飞咨询对策。
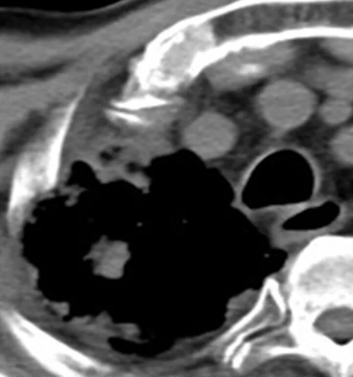
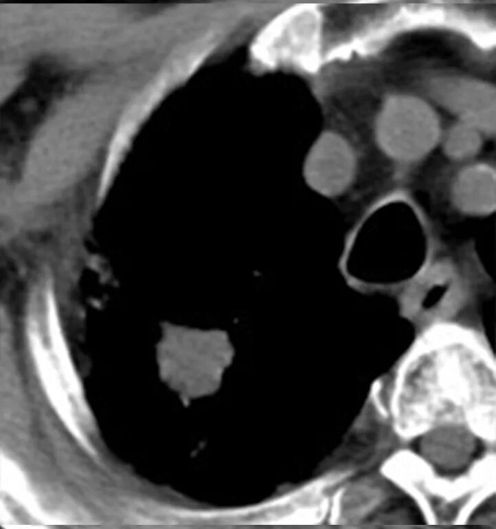
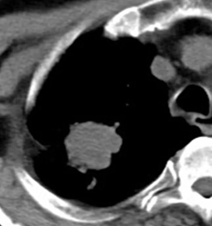
经过王剑飞和肿瘤中心MDT团队的认真讨论,确诊王大伯为右肺恶性肿瘤。“那要手术么?”家属着急地询问着。“大伯80多岁了,心肺功能也不好,手术治疗不耐受的,还是考虑局部治疗,也就是放射治疗”,王剑飞耐心解释着。 经过考虑,大伯和家属都接受了放射治疗的建议。放疗中心副主任刘文君、主治医师阮龙飞为王大伯详细制定了右肺上叶肿块根治性放疗的治疗方案。很快,王大伯便正式开始了治疗。 一年过去了,王大伯早已结束了治疗,而他的定期复查结果令人欣喜——右肺上叶肿块持续缩小,现在已经几乎消失了! “还好听医生话还算及时!”每次看到复查报告,王大伯都十分高兴,一再感谢肿瘤科团队的帮助与悉心照料。 王剑飞提醒市民:发现肿瘤并不是最可怕的,可怕的是不重视或不配合治疗,这是医生最无能为力的局面。 治疗前 治疗结束 治疗结束后2月 治疗结束后10月

