近日,老杨来复查B超,碰到了当日为他检查的B超室专家黄医师。看到老杨精神不错,黄医师半开玩笑与他聊了起来。“你那天来做B超时,意识都是模糊的,下次生病还继续睡在家里吗?”“再也不会了,下次生病我还要来康华!”回忆起之前的一幕,老杨至今心有余悸,专家告诉他,他的肝脓肿巨大且已伴有菌血症,若再推迟一礼拜治疗,恐怕将有生命危险。
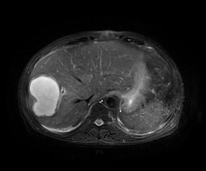
手术前

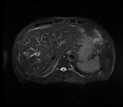
手术后

今年春节过后,老杨身体一直不舒服,乏力伴有发烧二十多天,他却不以为意,以为糖尿病老毛病犯了,在家多睡睡觉休息就好了。后来实在熬不住了,好友闻讯后劝他来康华医院检查治疗,原本以为只是单纯的糖尿病,不曾想B超检查发现右肝上有一个10余厘米的巨大包块,考虑肝脓肿。经肿瘤科会诊后确诊为肝脓肿,建议CT引导下行经皮肝穿刺引流术(PTCD)。因脓肿较大若不手术,脓肿有自行破裂的风险,届时将造成腹腔大面积感染及脓毒血症,甚至危及生命。随即病人就转至肿瘤科。
经过完善的术前检查,以及肿瘤科、内分泌科等专家的会诊后,患者于3月中旬进行手术。在64排128层CT的引导下,病灶得以精准定位并引流,在肿瘤科王剑飞主任、主治医师黄忠炎以及放射科医师的娴熟配合下手术很顺利,当即引流出脓液230ml左右,病灶明显缩小。
由于患者患有糖尿病,机体抵抗力较差,术后肿瘤科予以积极抗炎治疗,并邀请内分泌科刘际川主任参与会诊,在肿瘤科医护人员的精心治疗护理与内分泌科的精准降血糖治疗下,老杨身体日益康复,血糖也恢复正常。术后一个多月复查右肝的脓肿已全部消退吸收,现已经顺利拔除引流管。目前,老杨已经能跑出病房到外面遛弯了。当有人来探望他时,老杨总不忘夸赞康华医院的技术一流,而且病房的医生护士服务态度也同样一流。
肿瘤外科王剑飞主任提醒:患有胆道结石、胆囊炎症的病人,在合并有糖尿病、免疫系统疾病等情况下易引发此类疾病,且往往病情进展快,后果都比较严重。一般肝脓肿脓腔较小可采取抗炎等保守治疗,像老杨一样脓腔较大者则需借助外科手段,常见的如CT引导下经皮肝穿刺引流术(PTCD),该技术具有安全性高、损伤小、恢复快、并发症少等优点。近两年来该技术在康华医院运用已比较成熟,积累了丰富的临床经验。

