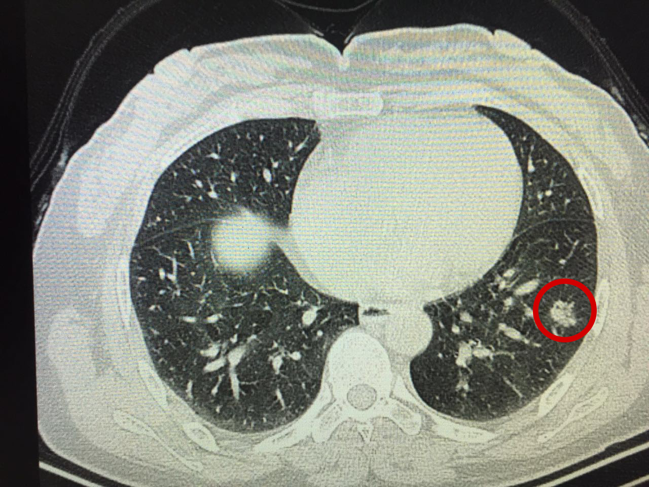
“医生,我感觉胸闷不舒服,还有点咳嗽,有点像感冒但感觉又不是。”海宁的吴女士(化名)走进海宁康华医院的内科诊室,向医生描述了自己的病症。初步查看过吴女士的症状后,医生建议她拍一个胸部CT。而CT结果一出来,吴女士傻眼了——肺部有35px小结节,不排除肺癌可能!
不手术行么?
吴女士赶紧找到康华医院肺结节中心的主任、副主任医师王剑飞确诊。反复研究胸片后,王剑飞建议吴女士先入院治疗,通过消炎、雾化吸入、中药等进行调理干预,进一步确认该结节的良恶性。
“不需要手术么?万一真是恶性,那拖久了不是要恶化么?”吴女士十分担忧。
“您先别害怕也别着急,”王剑飞安慰道,“虽然有不少结节最终是被确诊为恶性,但是就总体而言,肺结节的恶性比例不高,在10%左右,尤其一些比较小、密度又高的结节,良性的可能性很大,通过消炎、中药调理等方式处理,同时减少污染空气的吸入,有些结节会缩小甚至消失,这就可以免除手术处理的痛苦了。”
情况好转了!
听过王剑飞的解释,吴女士稍稍安了心,并立即办理了住院。
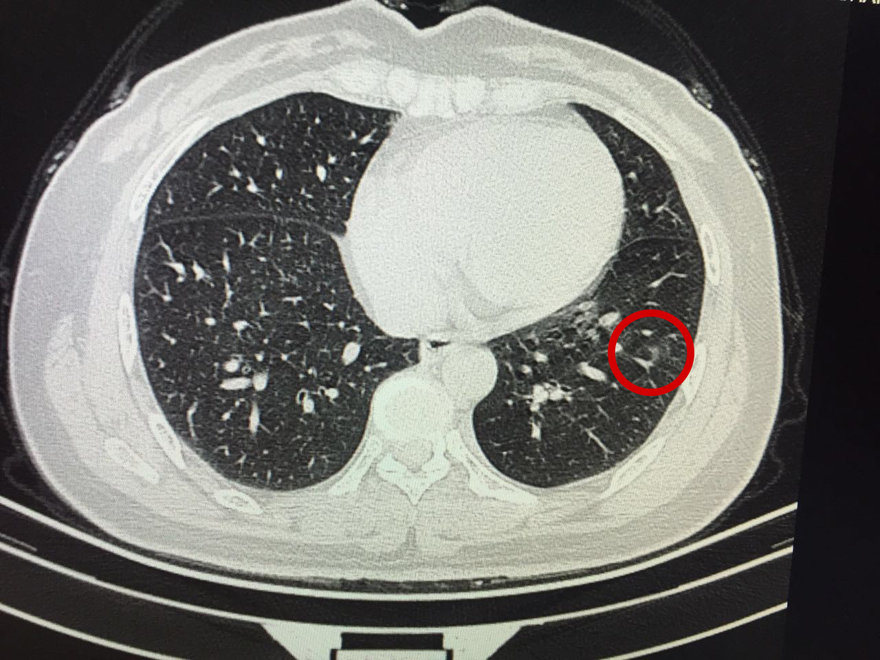
2月21日,已接受半个月治疗的吴女士再次拍片进行复查。在丈夫的陪同下,她显得十分焦虑不安——如果没有好转怎么办?真的是恶性怎么办?她死死拽着丈夫的手,仿佛要把对生命的渴望都捏到手心里牢牢掌控住。

“王医生,怎么样?”丈夫替吴女士问出了梗在喉间的疑问,但语调也饱含着紧张。
“情况还不错。”王剑飞原本严肃的脸上此刻挂上了淡淡的微笑,“你看,虽然大小几乎没变,但是变淡了,这是好现象。”他指点着结节部位,又调出之前的片子做对比。
听过王剑飞的话,吴女士忧郁的眼眸霎时光亮起来,丈夫也禁不住长舒一口气。
2月23日,吴女士带着调理用的中药出院了。王剑飞仔细嘱咐她按时吃药、注意预防感冒,又细心地宽慰吴女士千万不要着急,要保持乐观。
终于安下的心
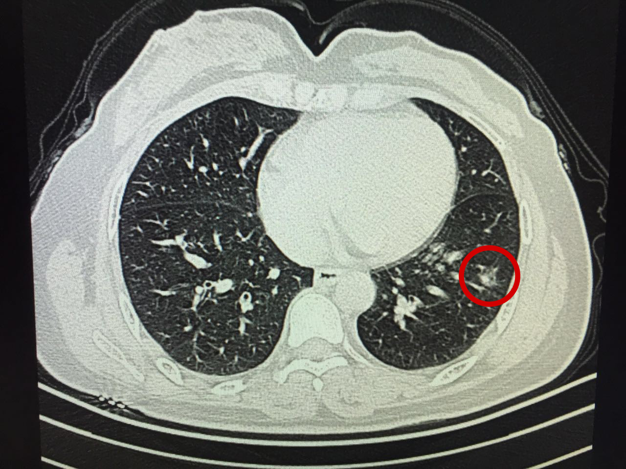
一个月后,吴女士再次来到肺结节中心进行第二次复查,而结果简直令她惊喜——结节已缩小至6mm,几乎都看不清了!

“挺好的!之后三个月到半年来随访一次就行了,危险性不大。”看到最新的结果,王剑飞也忍不住眉开眼笑。
“实在太谢谢您了王医生,要不是你们认真负责,我大概第一次就开刀了,这不就白白挨刀了么。”吴女士感激地说着,难掩终于安心的激动。
专科与专业
王剑飞提醒市民,专业的医生会帮你解决专业的问题,当发现肺部结节时先不要着急,一定要到专科找专家医生咨询。部分肺部结节确实很难鉴别其良恶性,但也不建议贸然开刀,定期随访后,如果结节出现变大、变实等情况,再进行手术干预还是没问题的。

肺结节诊疗中心专家及资深医师介绍
肿瘤科 王钢
副院长 肿瘤科专家
曾任海宁市人民医院普通外科主任等;浙江省抗癌协会大肠癌专业委员会委员、海宁抗癌协会理事;曾任嘉兴医学会外科学组副组长。擅长于颌面部肿瘤、甲状腺癌、乳腺癌、食管癌、肺癌、纵隔肿瘤、胃癌、肝癌、胰腺癌、大肠癌、肾癌、膀胱癌等恶性肿瘤的诊断、手术及综合治疗。
肿瘤科 王剑飞
肿瘤科主任 副主任医师
从事外科临床工作二十余年。熟练开展外科各种常见疾病的诊断与手术治疗。擅长甲状腺、腮腺、乳腺等良、恶性肿瘤的手术治疗及食管、胃、大肠等消化道肿瘤的外科与综合治疗。近年来,开展肿瘤的微创手术,并积累了丰富的临床经验。
外聘专家 胸部肿瘤外科 周鑫明
浙江省肿瘤医院
主任医师/教授
大外科主任,胸外科主任,主任医师,毕业于浙江温州医学院,1983年参加工作。1997年曾在澳大利亚昆士兰大学进修肿瘤外科。目前,担任中国抗癌协会食管癌专业委员会委员,浙江省抗癌协会食管癌专业委员会主任委员,浙江省医学会肿瘤外科分会副主任委员,浙江省医学会胸心外科分会委员。
擅长胸部肿瘤的外科治疗,如:食管癌,贲门癌,胃癌,肺癌,纵隔肿瘤等病种。每年光是食管癌,肺癌的手术数达200百例以上。对各种术式均积累丰富的经验,具备高超的手术技巧。收到良好的疗效。目前主要的研究方向是:食管癌,肺癌的综合治疗。并积极推广规范化的治疗模式。
外聘专家 胸外科 徐勇
浙江大学医学院附属邵逸夫医院
副主任医师/副教授
医学博士、副主任医师、邵逸夫医院胸外科医疗组组长,美国医学博士学位。曾经在沙特王子医院工作,在沙特阿拉伯、韩国及美国接受心胸外科培训。美国心脏协会(ACC)Basic Life Support(CPR/AED)Instructor;中华医学会心胸外科分会浙江省分会青年委员。
擅长肺部肿瘤、食道肿瘤、风湿性心脏瓣膜病、冠心病等手术治疗,尤其擅长肺部结节的微创治疗,美国加州心胸外科 special follow。年手术量近400例,涵盖心胸外科各类难度手术,手术成功率高,并发症低。能熟练开展各类胸腔镜微创手术,微创手术类型和占总手术比例居省内先进水平。在高龄患者和危重患者的诊疗和抢救方面成功率高。在术后快速康复方面积极尝试胸腔镜手术Say Surgery(包括手汗症、肺局部切除术)。
主攻方向:个体化胸腔镜微创治疗胸部疾病。
外聘专家 胸外科 何文新
同济大学附属上海市肺科医院
副主任医师/博士
哈佛医学院麻省总医院访问学者,期间师从STS主席Mathisen教授潜心钻研胸部肿瘤外科技术和气管外科技术。长期从事肺移植的临床和基础研究,具有近20年的胸外科临床经验,尤其擅长单孔胸腔镜微创手术治疗胸部良恶性肿瘤和良性疾患包括肺癌、纵膈肿瘤,肺部结节等,以及各类气道疾病和终末期肺病的外科治疗。
近5年来共主持国家自然科学基金青年科学基金项目、面上项目和上海市科委自然基金各1项。终末期肺病的外科治疗研究获2012年度中华医学科技奖二等奖。现任中国医疗保健国际交流促进会胸外科分会青年委员,中国胸心血管外科临床杂志青年编委和中华实验外科杂志审稿专家。
专业特长:微创肺外科,肺移植。
外聘专家 呼吸内科 冯光丽
上海胸科医院 副主任医师
我院呼吸内科主任,擅长肺癌、肺部疾病的诊断,鉴别诊断,有着应用纤维支气管镜检查(TBB)、经纤维支气管镜肺活检(TBLB)、CT定位下肺穿刺、活检,胸膜活检等操作技巧。对于肺部常见病(慢性支气管炎、支气管扩张病、肺炎、肺心病、慢阻肺等)及肺部疑难性疾病的诊断、治疗有丰富的临床经验。
门诊时间:每周一、周三
门诊地点:二楼名医堂
放射科 俞海伟
放射科主任
毕业于温州医学院医学影像专业,长期从事放射临床工作。曾赴嘉兴、杭州等地学习深造,对普放、CT、MRI的诊断有着扎实的基础和丰富的经验,尤其擅长胸部CT诊断。
肿瘤科 黄忠炎
主治医师
从事外科临床工作十余年,曾于浙江省肿瘤医院进修深造,熟练掌握外科常见病的诊断与手术治疗,其中对甲状腺、乳腺、肺、食管、胃、大肠等良、恶性肿瘤的个体化综合治疗积累了一定的经验。

