“急性心梗,情况很不好,赶紧通知家属吧。”6月8日下午约17时,当大家都忙着收拾东西下班时,康华医院心内科办公室里却正进行着一场扣人心弦的紧急会诊……
他说,听医生的
患者的心电图结果显示:下壁导联ST段抬高,肌钙蛋白升高,正是急性心梗发作的症状。科室副主任王东第一时间将会诊结果告知家属,由于无法明断患者的发病时间,不宜尝试药物溶栓,王东建议他们尽快下决断,同意为患者进行急诊手术。
正命悬一线的陈奶奶(化名)此刻脸色苍白地躺在病房里,持续着她多日来的不适——胸闷、乏力,但看起来依旧平静,一点儿不像病情危重的样子。
守在床头的老伴儿吴爷爷被子女叫了出去,“医生说要马上动手术,爸,你看……”
“手术?”吴爷爷有些吃惊,“很严重?”
“嗯,医生说是急性心梗,情况不太好。”子女均是一脸焦虑,怕父亲一时支撑不住。
意外的是,吴爷爷格外冷静与果断:“那赶紧做吧,听医生的!”
只剩3公分的血管
征得家属同意后,王东团队立即展开了救治工作。
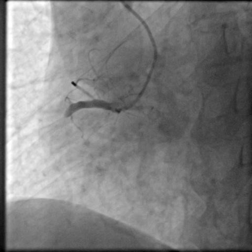
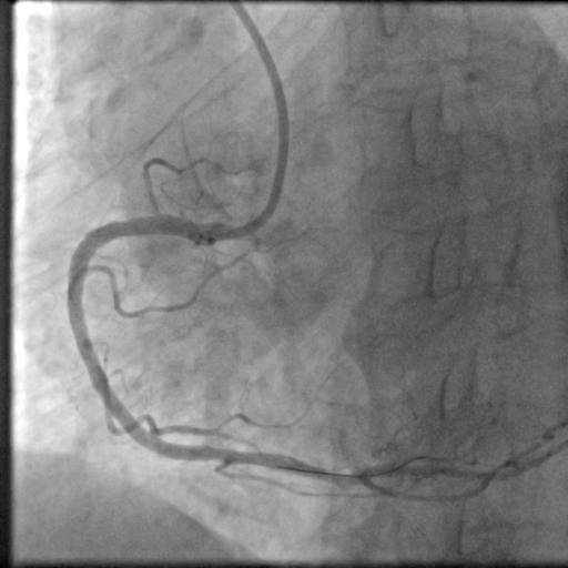
17时30分,陈奶奶已躺在导管室的手术台上,副主任医师朱劲草与王东一起为她进行血管造影。高清的影像图令所有人都禁不住倒吸一口冷气——右冠脉近中段起全部闭塞,仅可见75px左右血管,左冠前降支回旋支也有多处重度病变!

“赶紧开通右冠放支架。”在朱劲草冷静果断的判断下,心内团队成员各就各位,迅速开始了相应处理。
与死神拼抢的一小时
从进入导管室到所有操作结束,整台手术仅花费了不足一小时,然而这看似波澜不惊实则危机涌动的几十分钟,挽救了陈奶奶的性命。

“老人胸闷不适其实好多天了,但是自己并不重视,来医院的时候也说不清症状,我们很难精确判断心梗发作的具体时间与程度,但根据术后影像显示,老人来医院时已经比较危险了,如果家属没能意识到严重性,再多耽误一会儿,可能回天乏术了。”术后,朱劲草认真解释道。
好在陈奶奶有幸运之神眷顾,在悲剧发生前赶到了医院,同时,在整个抢救过程中,家属的全力配合为她争取到了宝贵的救治时间。为此,朱劲草颇为感慨:“治疗过程中,家属的配合非常重要,尤其像这样争分夺秒的抢救病例,假如时间都耗费在家属的犹豫甚至不配合中,患者或许真的会付出生命的代价,这是非常悲哀的,但并不罕见。”
感谢您的配合——给了我救治的机会
虽然在与同事加班加点的辛苦抢救下才终于阻断了死神带走陈奶奶的脚步,但朱劲草将这一美好的结果归功于陈奶奶家属的配合,“感谢他们的信任与果断,为老人争取到了时间,真的非常感谢!“
除了感谢,朱劲草也不忘提醒市民,“身体一旦有不适,尤其是老年人或本身体弱的人群,一定要尽快到正规医院寻求专业治疗,不能当小事,更不应该死扛,否则带来的后果可能是追悔莫及的。“
用行动赢得信任
右冠动脉经过及时处理后,陈奶奶如今气色好多了。“非常感谢心内科的医生护士救了我家老伴儿”,吴爷爷满脸喜悦,“不久前我自己才在上海做了支架手术,没想到老伴儿也出了问题,康华医院的医生护士都很好,等老伴儿恢复下身体,之后左边冠脉的手术还在这儿做。”
面对来自吴爷爷的感谢与信任,心内科团队的医护人员再次感受到了这份职业带来的荣誉感与喜悦感,都暗自下着“更努力”的决心……

