成年人的脊柱
从上到下包括
7块颈椎
12块胸椎
5块腰椎
9块骶尾椎
可谓身体的支柱,生命的大梁
哪块出了问题都不好办
随着设备更新和技术发展
越来越精细、安全的
脊柱微创技术出现
单侧双通道内镜技术(UBE)
就是其中之一
先让我们来看看这几位~
术前颈椎MRI提示:脊髓型颈椎病,属比较严重的颈椎病类型,严重可致残。
术前术后对比
术后复查,颈椎椎管减压范围良好,内环境稳定。
术前MRI影像提示胸椎黄韧带肥厚,胸段脊髓信号改变。
术前术后CT影像资料
那么问题来了
以上案例中提到的
单侧双通道内镜技术(UBE)
到底是个啥?
单侧双通道内镜技术(UBE)
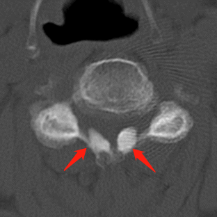
单侧双通道内镜技术(UBE,Unilateral Biportal Endoscopy technique),是一项近年兴起的微创技术。该技术通常通过背部两处仅约1cm长的小切口,建立两个通道,一个是内镜通道(view portal),一个是操作通道(work portal)。观察通道一般会用到0°或30°关节镜,操作通道可以应用常规的脊柱外科及运动医学的器械。
背部仅有两个长约1cm切口
与单通道的椎间孔镜技术相比,UBE更加适用于复杂椎间盘突出、椎管狭窄、腰椎滑脱等病例的内镜微创治疗,是目前脊柱外科适应症最为广泛的微创治疗技术。
UBE微创技术可以在不切开椎旁肌肉、不进行内固定融合以及不输血的情况下达到治疗效果,降低了手术治疗风险以及对患者的创伤,最大限度保留了脊柱小关节的稳定性和活动度,以最小的创伤解除患者的病痛。
腰椎间盘突出症、腰椎椎管狭窄症是脊柱外科的常见病与多发病,主要表现为腰腿疼痛、麻木、跛行、劳动受限甚至大小便障碍等,严重影响人们的生活质量。相比传统手术,UBE微创技术靠两个微小切口就能完成,手术在内镜直视下操作,有着手术创伤小,患者痛苦小,术后恢复快,治疗费用低,住院时间短的特点,有望成为即将成为该类疾病手术治疗的绝佳选择。
医师简介:
徐正宽
副主任医师
毕业于浙江大学医学院,医学博士。浙江大学医学院附属第二医院骨科。中华医学会骨科学分会微创外科学组青年委员会委员,中华预防医学会骨与关节预防与控制专业委员会青年委员,浙江省康复医学会脊柱脊髓损伤专业委员会青年委员,浙江省预防医学会骨与关节病预防与控制专业委员会秘书。
朱龙伟
主治医师
毕业于嘉兴医学院,从事骨科临床工作10余年,擅长脊柱、创伤、运动医学、手外伤等手术;对四肢创伤,运动医学疾病的治疗有着较丰富的临床经验。

